Previous Topic Back Forward Next Topic
Print Page Frank Dieterle
 
Research TutorialsResearch Tutorials MetabonomicsMetabonomics Applications in Drug DevelopmentApplications in Drug Development Specific BiomarkersSpecific Biomarkers PhospholipidosisPhospholipidosis
Home
News
About Me
Ph. D. Thesis
Publications
Research Tutorials
  Metabonomics
    Biology and "-omics"
    Definition of Metabonomics
    Methods
    Applications in Drug Development
      Possiblities and Examples
      Specific Biomarkers
        Phospholipidosis
          PAG as Biomarker for Phospholipidosis
          Amiodarone Study
          Monitoring Drug Candidates
      Patterns of Biomarkers
      Structure Elucidation of New Biomarkers
    Acknowledgements
Downloads and Links
Contact
Search
Site Map
Print this Page Print this Page

Changes of Specific Biomarkers: Overview of Phospholipidosis

Phospholipidosis is a reversible storage disorder characterized by accumulation of phospholipids within cells. Drug induced phospholipidosis can be caused by cationic amphiphilic drugs (e.g. Amidiarone) or cationic hydrophilic drugs. The storage disorder is usually reversible, whereas the critical issue of phospholipidosis is an associated organ toxicity often observed.

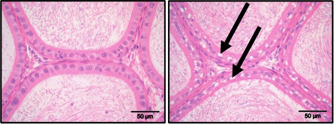
The "gold standard" for the detection of phospholipidosis is the inspection of tissue by TEM (trans electrom microscopy). As this approach is time-consuming and invasive, a general biomarker independent from the affected organ is desired.

Detection of phospholipidosis by the use of trans electron microscopy. Clean tissue (left side) versus affected tissue (right side). Images by B. Lenz.

 

 

 

Page 172 © Frank Dieterle, 03.03.2019 Navigation